名古屋市中村区の歯医者、かすもりおしむら歯科

治療実績一覧 CASE

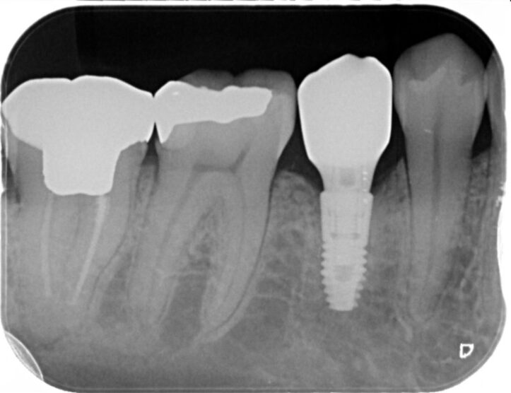
Case

60代男性

画像

R5.8
右下4番破折の疑い

画像

R5.12
右下4番抜歯後経過観察

画像

R6.12
インプラント埋入後、上部の被せ物を被せました

費用 約43万円
治療期間 1年4ヶ月
注意事項(リスク・副作用など)

根管治療は治療の刺激や薬剤の刺激により、治療後数時間から数日後に痛みや腫れが生じる場合があります。
歯の構造が筒状になるため、歯の破折リスクが高くなります。
インプラント治療では骨の状態を把握せずにインプラントを埋入すると、トラブルが起こります。

カテゴリ インプラント

右下4番にフィステルが頻繁にできており、他院では抜歯のみと説明を受け、他の治療を検討できないかと当院にお越しになられました。
根管治療を数回行い、フィステルの出現は小さくなり頻度も減ったが抜歯が最善との判断に至りました。

抜歯をし、インプラントをご希望されていたのでしっかり5ケ月かけて経過を観察し、インプラントオペを行いました。

Case

40代男性

画像

R5.4
左下7のインプラント埋入を検討

画像

R7.5
4ヶ月前に埋入したインプラントの経過観察

画像

R7.12
11ヶ月慎重に様子を見て上部の被せ物を被せることができました

画像

R7.12
被せ物もしっかり馴染んでいます

費用 約47万円
治療期間 12ヶ月
注意事項(リスク・副作用など)

今回のケースのように骨の状態を把握せずにインプラントを埋入するとトラブルが起こります。
そのため当院ではレントゲン検査で骨粗しょう症かを確認し、CTで撮影された3次元画像によって、骨密度や骨の高さ・厚みを正確に診断いたします。

カテゴリ インプラント

左下7番部にエナメル上皮腫(良性腫瘍)が認められた患者様が、将来的にインプラント治療をご希望されました。
まずは安全を最優先に、口腔外科にて腫瘍の摘出手術を行っていただきました。

手術後は、インプラントを支えるための骨がどの程度回復するか慎重に経過を観察し、約2年間、骨の再生を待ちながらフォローアップを続けました。しかし、残念ながら想定したほど骨量が回復せず、理想的な位置(もう少し奥の部位)にインプラントを埋入することが難しい状態でした。

そこで、工学的・解剖学的条件を総合的に検討し、歯科技工士とも綿密に相談した上で、安全性と長期安定性を優先し、手前側の位置にインプラントを埋入するという治療計画に変更しました。

結果としてインプラントは良好に骨と結合し、現在は問題なくお食事もできており、とても満足して生活されているとのことです。
難症例ではありましたが、口腔外科との連携、慎重な経過観察、そして適切な位置へのインプラント埋入により、安全かつ確実な治療結果を得ることができました。

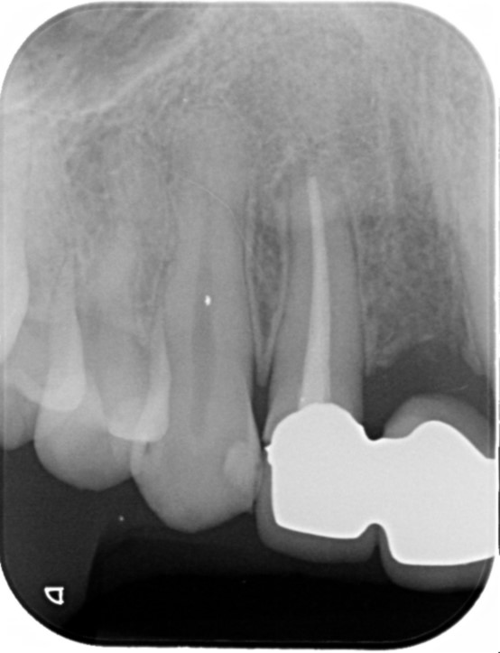
Case

50代女性

画像

R5.10

画像

R7.11

治療部位 右上5、6番
費用 約140000円
治療期間 9ヶ月
注意事項(リスク・副作用など)

治療の刺激や薬剤の刺激により、治療後数時間から数日後に痛みや腫れが生じる場合があります。
歯の構造が筒状になるため、歯の破折リスクが高くなります。
細く繊細な器具を使用するため、器具が破折する可能性があります。
再根管治療を行うことでさらに根管壁(歯の厚み)が薄くなりより破折リスクが高くなってしまいます。
治療中に細菌が侵入し、再感染を起こす可能性があります。

カテゴリ 歯内療法

ともに違和感を感じ、被せ物を外して根っこの治療へ。
再度土台も建て直し、被せ物を作りかえました。
治療の途中、この歯にできる治療はここが最後になることもお話し、
抜歯になる可能性もきちんと患者様と共有しながら治療を進めていきました。

Case

50代男性

画像

R2.7

画像

R5.5

治療部位 左下6,7
費用 約700000円
治療期間 約6ヶ月
注意事項(リスク・副作用など)

1. インプラントロストの可能性
インプラントの埋入が成功しない場合があります。

骨とインプラントの結合がうまくいかずにインプラントそのものが脱落してしまうことを指します。原因としては感染や火傷が大きな原因ですが、そもそもの原因因子として全身的な健康状態や骨の硬さや骨の厚みが挙げられます。

2. 感染
術後にインプラントの埋入部位が感染する可能性があります。適切な術後対応と感染に対しての治療が必要です。

3. 周囲組織への損傷
手術中に周囲の骨、歯、神経、血管などが損傷を受けることがあります。

4. 痛みや腫れ
手術後、一時的な痛みや腫れが生じることがありますが、経日的に改善していきます。

5. 歯周病
インプラント周囲炎が発生する可能性があります。

6. 噛み合わせの問題
インプラントが他の歯と適切に噛み合わないことがあります。

7. 金属アレルギー
インプラントはチタン製であり安全性が認められていますが、極稀にアレルギー反応が起きる場合があります。

インプラント治療にはこれらのリスクがありますが、事前の適切な検査や診断、術後のメンテナンスによってリスクを最小限に抑える事ができます。

永嶌歯科クリニックでは、しっかりとした治療計画を立て、リスクを最小限に抑えた形で治療を提供しておりますのでご安心ください。治療前に気になる点や分からない事がある場合は、お気軽にご相談ください。

カテゴリ インプラント

Case

30代男性

画像

R7.1
右下5番にインプラント埋入

画像

R7.7
インプラントの上部にジルコニアを被せました

画像

R7.7
口腔内に違和感なく馴染んでいます

費用 165000円
治療期間 約11ヶ月
注意事項(リスク・副作用など)

1. インプラントロストの可能性
インプラントの埋入が成功しない場合があります。

骨とインプラントの結合がうまくいかずにインプラントそのものが脱落してしまうことを指します。原因としては感染や火傷が大きな原因ですが、そもそもの原因因子として全身的な健康状態や骨の硬さや骨の厚みが挙げられます。

2. 感染
術後にインプラントの埋入部位が感染する可能性があります。適切な術後対応と感染に対しての治療が必要です。

3. 周囲組織への損傷
手術中に周囲の骨、歯、神経、血管などが損傷を受けることがあります。

4. 痛みや腫れ
手術後、一時的な痛みや腫れが生じることがありますが、経日的に改善していきます。

5. 歯周病
インプラント周囲炎が発生する可能性があります。

6. 噛み合わせの問題
インプラントが他の歯と適切に噛み合わないことがあります。

7. 金属アレルギー
インプラントはチタン製であり安全性が認められていますが、極稀にアレルギー反応が起きる場合があります。

インプラント治療にはこれらのリスクがありますが、事前の適切な検査や診断、術後のメンテナンスによってリスクを最小限に抑える事ができます。

永嶌歯科クリニックでは、しっかりとした治療計画を立て、リスクを最小限に抑えた形で治療を提供しておりますのでご安心ください。治療前に気になる点や分からない事がある場合は、お気軽にご相談ください。

カテゴリ インプラント

痛み、腫れを感じておりレントゲンを撮影、歯が破折している可能性がありました。

被せ物を外しヒビが確認されなければ根管治療で歯を残せる可能性があること、
ヒビがあった場合は抜歯になってしまうと説明しました。

このケースは残せる状態ではなく抜歯という選択になりましたが、できるだけ患者様のご希望に寄り添い、
治療計画をご提案できるよう最善を尽くしております。

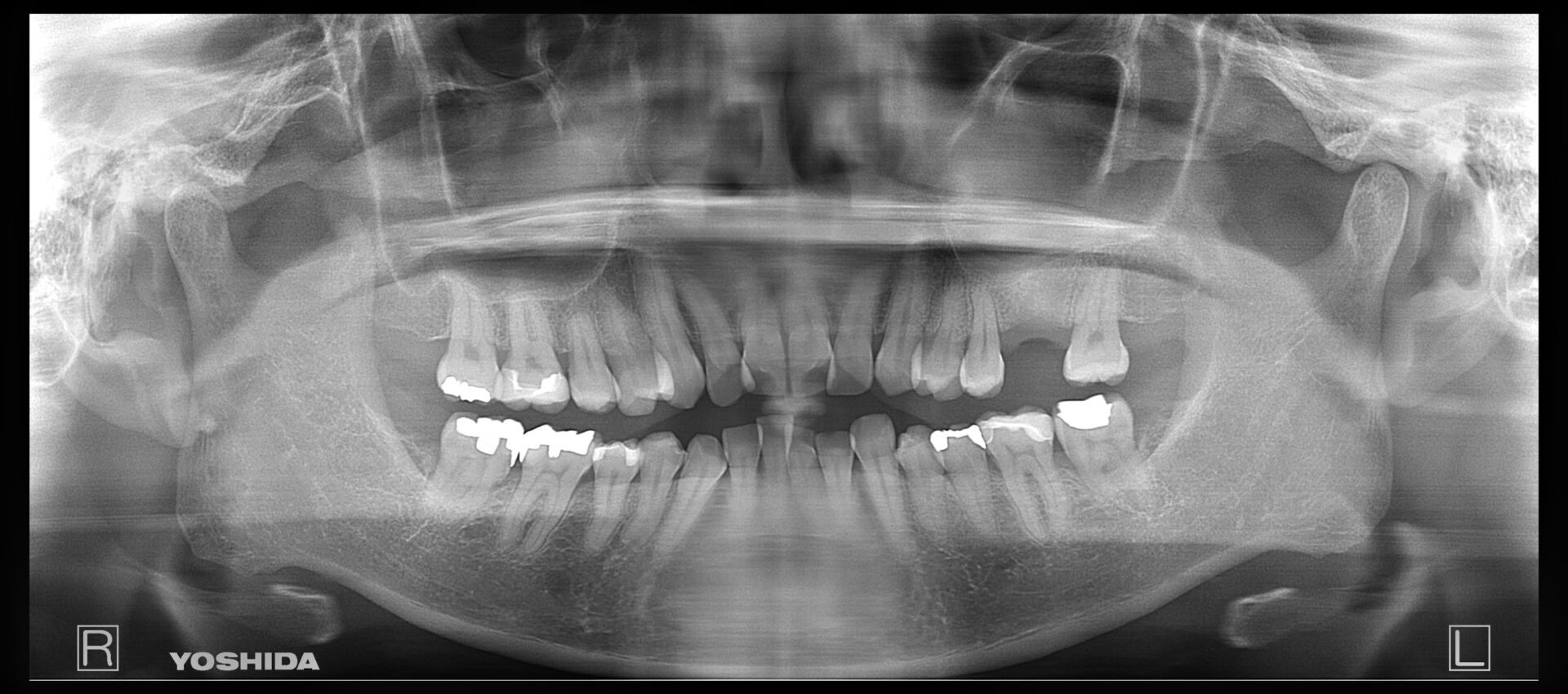
Case

40代女性

画像

2023.8 左上6番破折の疑い

画像

2024.12 左上6番抜歯

画像

2025.7 インプラント埋入(以降インプラント治療継続中)

治療部位 左上6番
費用 約440000円
治療期間 7ヶ月
注意事項(リスク・副作用など)

インプラント手術直後は違和感や痛み、腫れなどが発生する可能性がありますが大半は2~3日程度でおさまります。
また、定期的なメンテナンスを怠ると、周囲炎になるおそれがあります。

カテゴリ インプラント

破折の疑い、腫れもあり義歯かインプラントのご提案をさせていただきました。
抜歯の時期も含めると約10ヶ月、治療方針を決めて進めていきました。

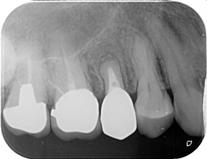
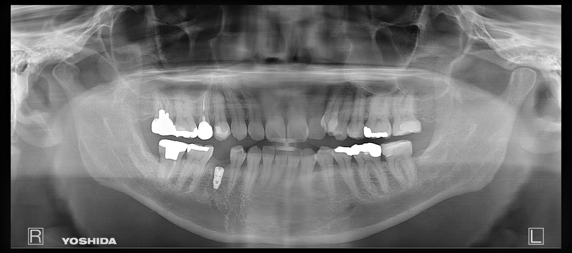
Case

40代女性

画像

2020.6 右上5番を根っこの治療からやり直します

画像

2023.11

治療部位 右上5番
費用 保険分+約10万円
治療期間 8ヶ月
注意事項(リスク・副作用など)

根管治療を行うためには通常の虫歯治療と違い、歯を大きく削る必要性が出ます。これにより薄くなった歯は脆くなってしまいます。

カテゴリ 歯内療法

患者様としっかりお話しし再植のリスクを理解していただいた上で治療を行いました。

Case

50代女性

画像

2024.4

画像

2024.6
エクストルージョンという装置を使用しました

画像

2024.10

治療部位 右上5番
費用 約15万円
治療期間 6ヵ月
注意事項(リスク・副作用など)

治療の刺激や薬剤の刺激により、治療後数時間から数日後に痛みや腫れが生じる場合があります。
歯の構造が筒状になるため、歯の破折リスクが高くなります。
細く繊細な器具を使用するため、器具が破折する可能性があります。
再根管治療を行うことでさらに根管壁(歯の厚み)が薄くなりより破折リスクが高くなってしまいます。
治療中に細菌が侵入し、再感染を起こす可能性があります。

他院では抜歯しかないと言われ、当院にセカンドオピニオンとしてご来院されました。
リスクももちろんありますが、当院ではできる限り歯を残せるような治療法を模索していきたいと考えております。

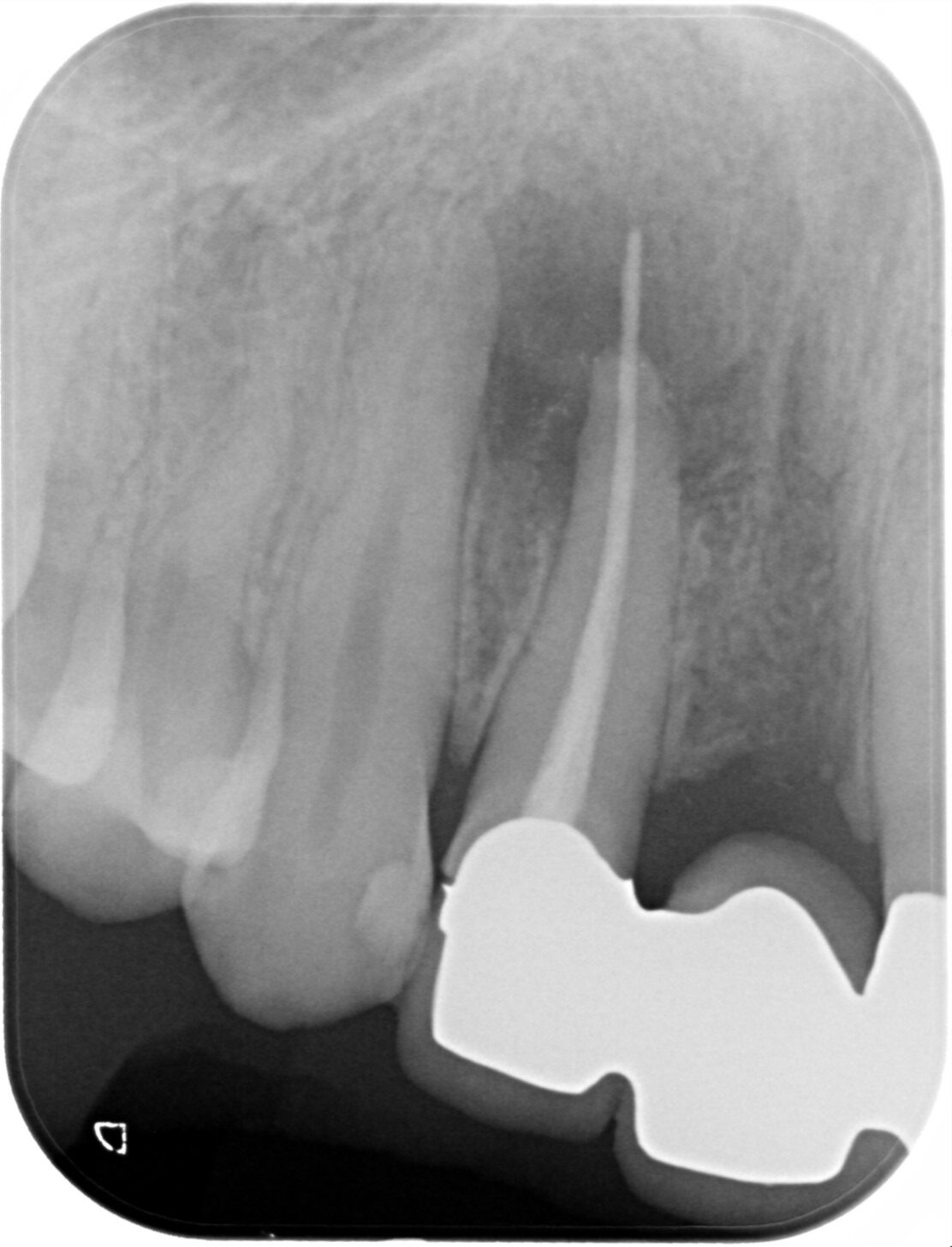
Case

40代男性

画像

2023.1/25 他院で被せ物を作成した歯が腫れて痛みがあるということでご来院。

画像

2024.6/5 被せ物は外し、当院で改めて根っこの治療を行いました。

画像

2024.9/5 右上2番の治療が終わり、ジルコニアクラウンの被せ物を作成しました。

治療部位 右上2番
費用 保険分+自費で約11万円
治療期間 21ヶ月
注意事項(リスク・副作用など)

治療の刺激や薬剤の刺激により、治療後数時間から数日後に痛みや腫れが生じる場合があります。
歯の構造が筒状になるため、歯の破折リスクが高くなります。
細く繊細な器具を使用するため、器具が破折する可能性があります。
再根管治療を行うことでさらに根管壁(歯の厚み)が薄くなりより破折リスクが高くなってしまいます。
治療中に細菌が侵入し、再感染を起こす可能性があります。

カテゴリ 歯内療法

Case

50代女性

画像

2024/5 他院で根っこの治療をした左下7番、破折の疑いあり

画像

2025/9 当院での根管治療が終了

治療部位 左下7番
費用 保険分円
治療期間 8ヶ月
注意事項(リスク・副作用など)

治療の刺激や薬剤の刺激により、治療後数時間から数日後に痛みや腫れが生じる場合があります。
歯の構造が筒状になるため、歯の破折リスクが高くなります。
細く繊細な器具を使用するため、器具が破折する可能性があります。
再根管治療を行うことでさらに根管壁(歯の厚み)が薄くなりより破折リスクが高くなってしまいます。
治療中に細菌が侵入し、再感染を起こす可能性があります。

カテゴリ 歯内療法

精密根管治療をご希望でご来院されました。今回の症例では根っこの治療とFOP処置も並行して行っていき、痛みがなくなってからもすぐに被せ物は作成せずに仮歯で過ごしていただいたりとしっかり経過を見ながら進めていきました。