Case
30代女性

2021/12

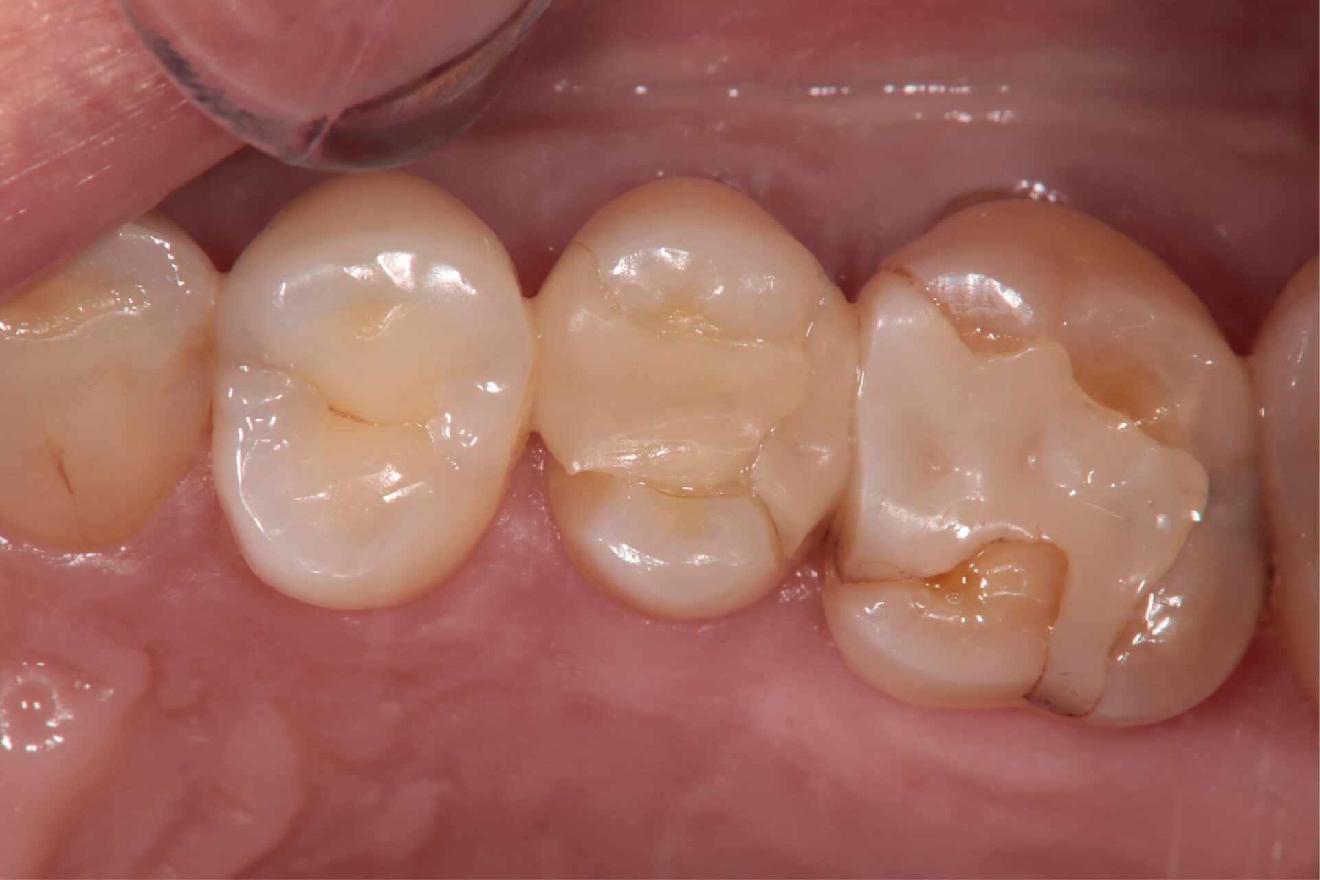
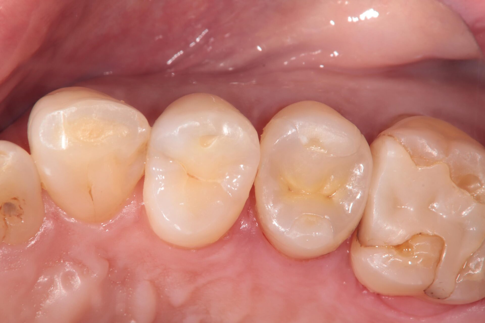
2025/8 右上6番にインプラントを埋入

2022/1

2025/8 右上6番はインプラント上部でフルジルコニアを、右上7番もフルジルコニアを使用しています。
治療部位 | 右上6、7番 |
---|---|
費用 | 約55万円円 |
治療期間 | 10ヶ月 |
注意事項(リスク・副作用など) | 1. インプラントロストの可能性 骨とインプラントの結合がうまくいかずにインプラントそのものが脱落してしまうことを指します。原因としては感染や火傷が大きな原因ですが、そもそもの原因因子として全身的な健康状態や骨の硬さや骨の厚みが挙げられます。 2. 感染 3. 周囲組織への損傷 4. 痛みや腫れ 5. 歯周病 6. 噛み合わせの問題 7. 金属アレルギー インプラント治療にはこれらのリスクがありますが、事前の適切な検査や診断、術後のメンテナンスによってリスクを最小限に抑える事ができます。 永嶌歯科クリニックでは、しっかりとした治療計画を立て、リスクを最小限に抑えた形で治療を提供しておりますのでご安心ください。治療前に気になる点や分からない事がある場合は、お気軽にご相談ください。 |
カテゴリ | インプラント |
Case
前歯4本の治療 ジルコニアクラウンにての修復治療になります

前歯4本の審美障害にて当院にお越しになられました。

前歯4本のジルコニアクラウンにて修復が終了した状態です。前歯の色も合わせさせていただき良好な仕上がりです。
治療部位 | 上顎前歯4本 |
---|---|
費用 | 400000円 |
治療期間 | 4か月 |
注意事項(リスク・副作用など) | セラミック治療は、健康保険適用外の100%自己負担(自由診療)となるため、健康保険適用の治療と比べ治療費が高額となります。 |
カテゴリ | 審美治療 |
Case
50代男性 右上2番 ジルコニアクラウン 左上2番 ベニア修復
治療前

治療後

費用 | 209,000円 |
---|---|
治療期間 | 3〜4週間 |
注意事項(リスク・副作用など) | ・歯軋りや食いしばりのある方は、術後欠けたり割れたりすることもあります。 |
カテゴリ | 審美治療 |
歯の神経を取られて何年も経っており、歯の色が黒色に変化をしておられました。そのため、右上の2番目の歯はジルコニアクラウンという被せ物を被せさせていただき、左上はベニアという表面から貼り付ける形で直させていただきました。