Case
50代 女性

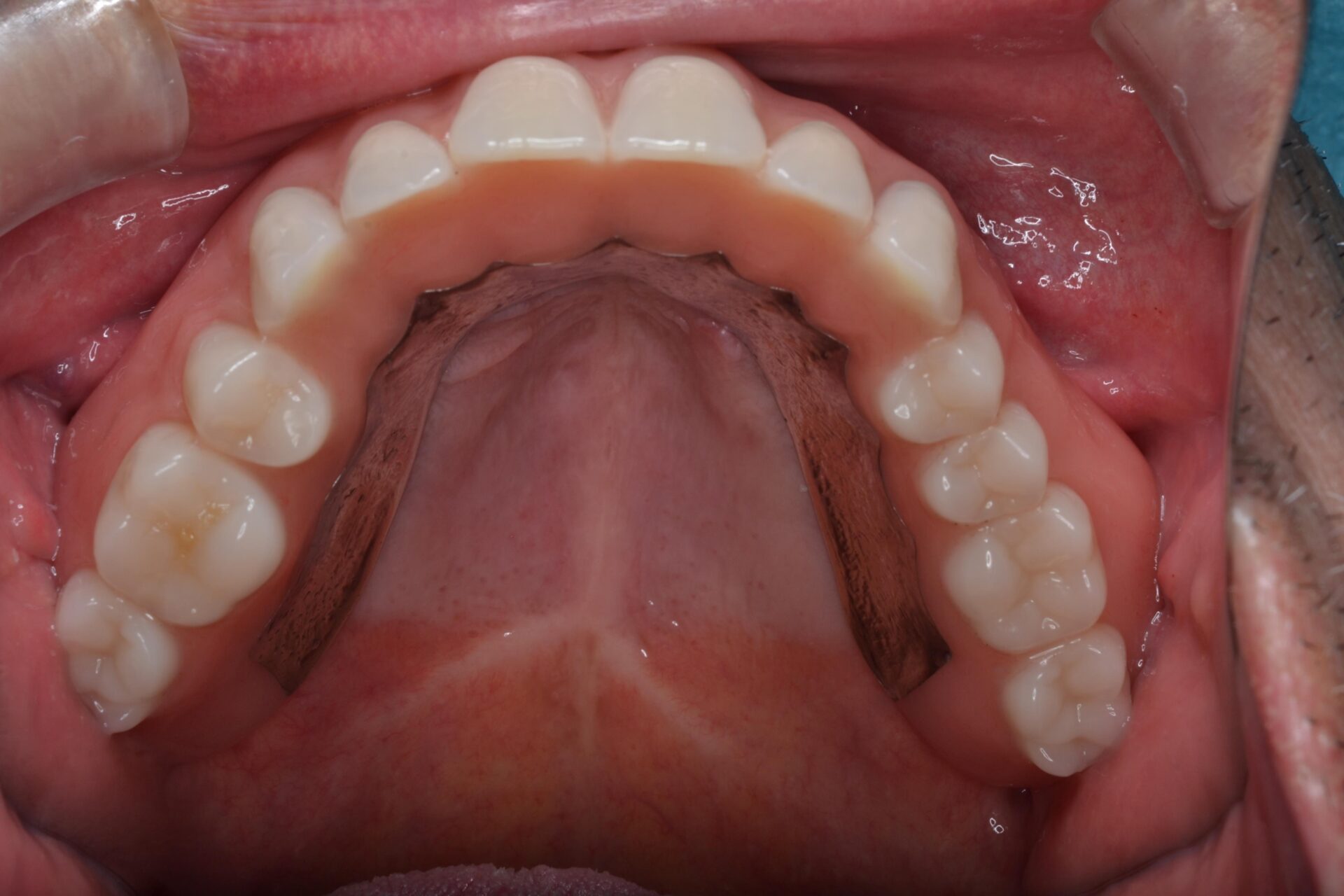
左下の6番目の歯を失われ、その後の治療のご相談に当院にお見えになりました。
インプラント、ブリッジ、入れ歯と様々な治療の方法があり悩まれておられたそうです。

インプラント治療は少し恐怖心があるとのことや、隣の歯を削ることにも抵抗があり入れ歯の針金にも抵抗があるとのことで今回はノンクラスプデンチャーという見た目のよい入れ歯を選択頂きました。型取りも含めて2回で治療は終了です。

見た目もよくなんでも噛めるとのことでご満足いただいております。また、少し見える金属の部分に関してはここが非常に重要で、この部分がないと入れ歯は沈み込んでしまい痛みなどがでてしまいます。そのため、沈み込み防止の為にこの部分は必須になります。ここがあるおかげでしっかりと安定しよく噛める入れ歯が完成します。
治療部位 | 左下6 |
---|---|
費用 | 150000円 |
治療期間 | 1か月 |
注意事項(リスク・副作用など) | 入れ歯を固定する天然歯に負担がかかることがあります。 |
カテゴリ | 入れ歯 |