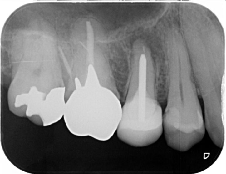
Case
40代女性

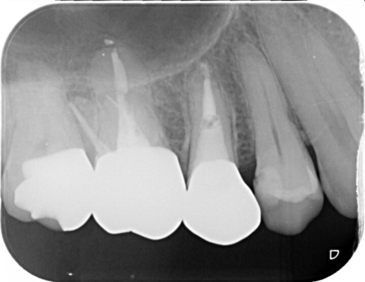
2020.6 右上5番を根っこの治療からやり直します

2023.11
治療部位 | 右上5番 |
---|---|
費用 | 保険分+約10万円 |
治療期間 | 8ヶ月 |
注意事項(リスク・副作用など) | 根管治療を行うためには通常の虫歯治療と違い、歯を大きく削る必要性が出ます。これにより薄くなった歯は脆くなってしまいます。 |
カテゴリ | 歯内療法 |
患者様としっかりお話しし再植のリスクを理解していただいた上で治療を行いました。
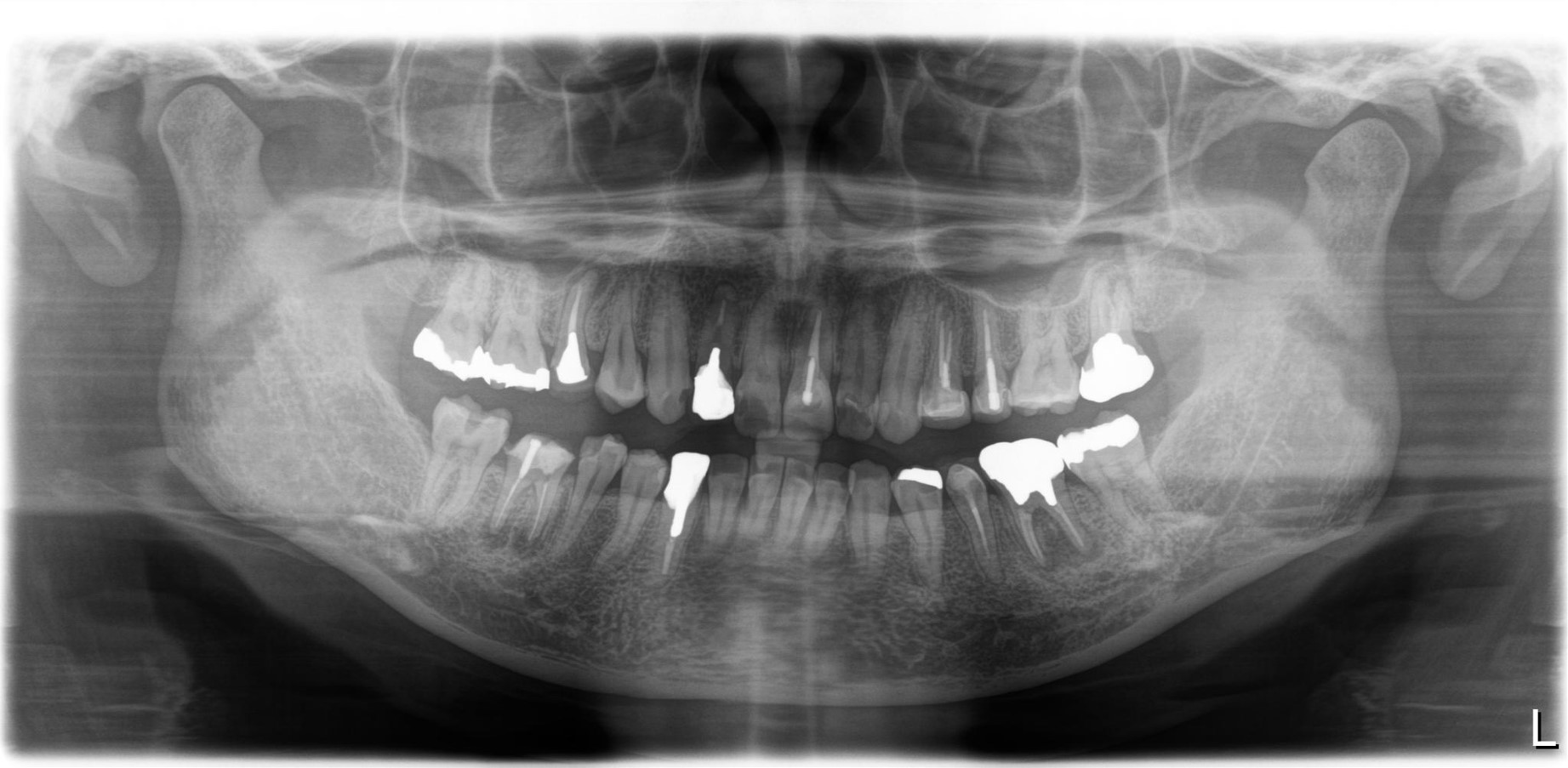
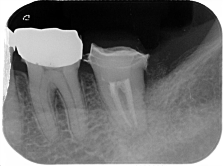
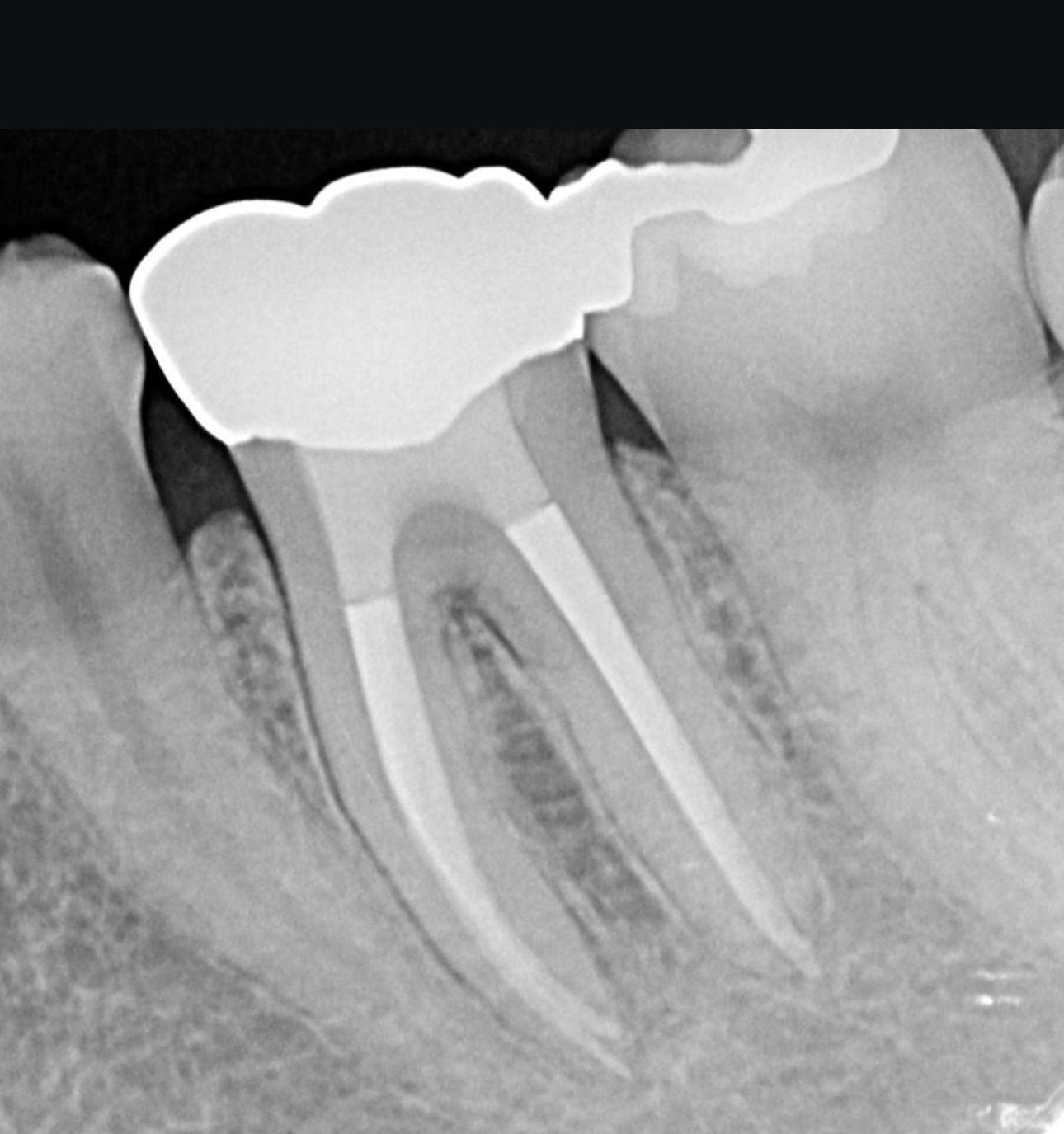
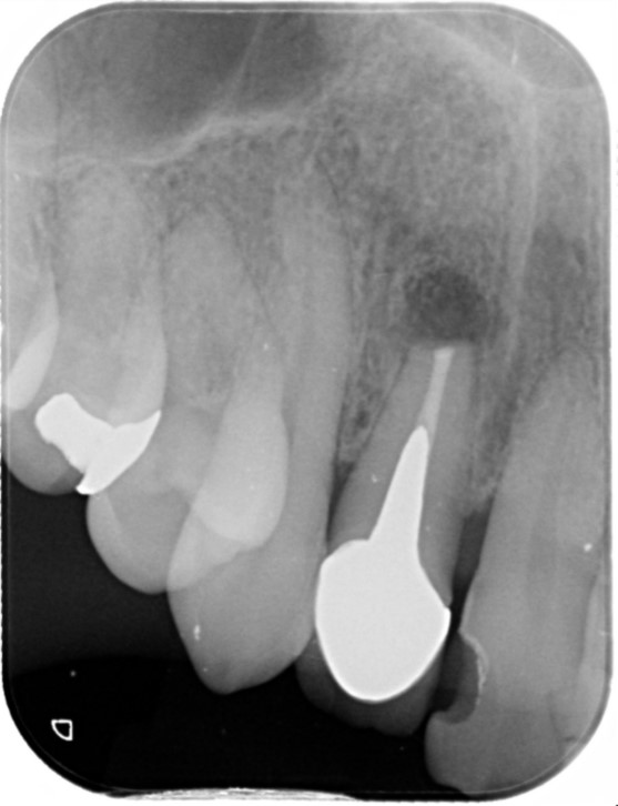
Case
40代男性

2023.1/25 他院で被せ物を作成した歯が腫れて痛みがあるということでご来院。

2024.6/5 被せ物は外し、当院で改めて根っこの治療を行いました。

2024.9/5 右上2番の治療が終わり、ジルコニアクラウンの被せ物を作成しました。
治療部位 | 右上2番 |
---|---|
費用 | 保険分+自費で約11万円 |
治療期間 | 21ヶ月 |
注意事項(リスク・副作用など) | 治療の刺激や薬剤の刺激により、治療後数時間から数日後に痛みや腫れが生じる場合があります。 |
カテゴリ | 歯内療法 |
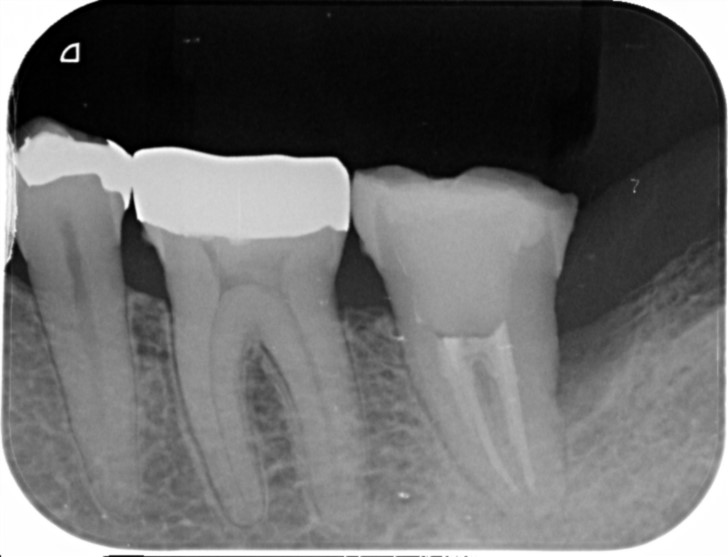
Case
50代女性

2024/5 他院で根っこの治療をした左下7番、破折の疑いあり

2025/9 当院での根管治療が終了
治療部位 | 左下7番 |
---|---|
費用 | 保険分円 |
治療期間 | 8ヶ月 |
注意事項(リスク・副作用など) | 治療の刺激や薬剤の刺激により、治療後数時間から数日後に痛みや腫れが生じる場合があります。 |
カテゴリ | 歯内療法 |
精密根管治療をご希望でご来院されました。今回の症例では根っこの治療とFOP処置も並行して行っていき、痛みがなくなってからもすぐに被せ物は作成せずに仮歯で過ごしていただいたりとしっかり経過を見ながら進めていきました。
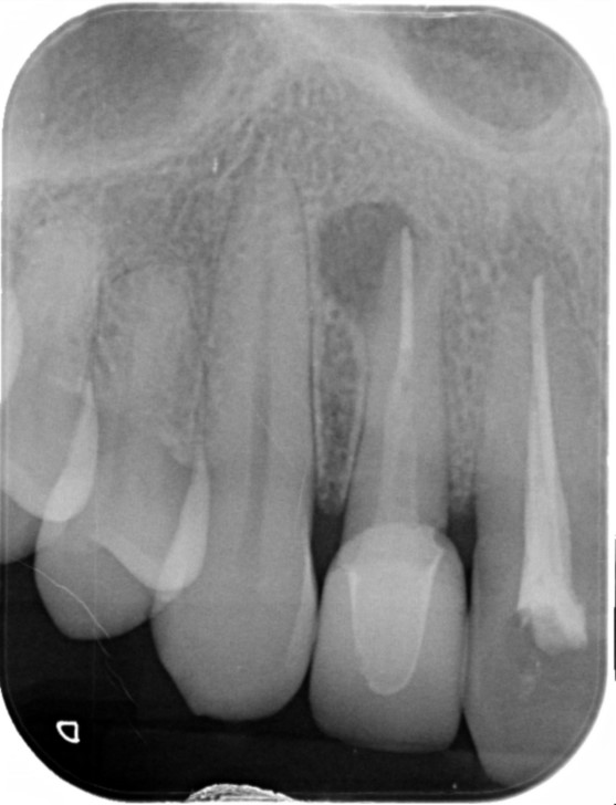
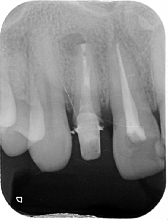
Case
30代男性

2023/1

2023/1 根に穴が開いていました。

2023/8 根っこの治療が終わり、しっかり土台ができました。
治療部位 | 右上5番 |
---|---|
費用 | 約93000円 |
治療期間 | 7ヶ月 |
注意事項(リスク・副作用など) | 根管治療を行うためには通常の虫歯治療と違い、歯を大きく削る必要性が出ます。これにより薄くなった歯は脆くなってしまいます。 |
カテゴリ | 歯内療法 |
マイクロスコープ、ラバーダムを使用して根管治療を行いました。
Case
60代男性

2023/8 他院での被せ物を外した状態

2023/8 根っこの治療が終わって仮歯が入っている状態

2024/1

2024/5 根っこの治療を再度行いしっかりお薬が入っています。
治療部位 | 左上5番 |
---|---|
費用 | 約10万円 |
治療期間 | 5ケ月 |
注意事項(リスク・副作用など) | 根管治療を行うためには通常の虫歯治療と違い、歯を大きく削る必要性が出ます。これにより薄くなった歯は脆くなってしまいます。 |
カテゴリ | 歯内療法 |
4年ほど前に他院さんで治療した歯が痛むということで当院には精密根管治療を希望してお越しになられました。
根っこの治療が終わってもすぐに被せ物は被せず、仮歯で様子を見ました。
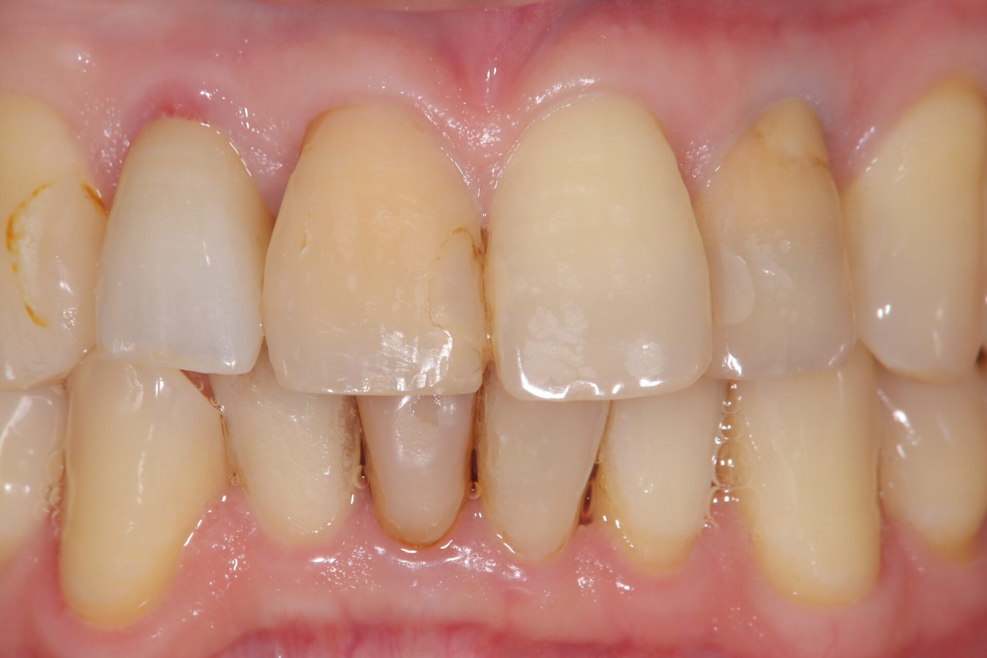
Case
60代 女性

4/8
治療前。

4/12
歯をできるだけ残せるよう一度しっかり根っこの治療をしました。
治療部位 | 左下6番 |
---|---|
費用 | 120000円 |
治療期間 | 3ヶ月 |
注意事項(リスク・副作用など) | 他院で抜歯と言われてしまった症例です。 |
カテゴリ | 歯内療法 |
当院では抜歯と他院で言われてしまった歯もできるだけ残せるように最善を尽くすよう努めております。
しかし根っこを半分だけ残す治療はリスクもあります。それでも当院では一度トライしてみる価値のある治療法だと考えております。
Case
60代女性

10/23
ひびが入っている根っこがあることがわかります。

12/3
ひびが入っていた根っこ以外を利用してできるだけ抜歯を避けました。

10/15
見た目も違和感なく被せ物をかぶせることができました。
治療部位 | 右下6番 |
---|---|
費用 | 約100000円 |
治療期間 | 9ヶ月 |
注意事項(リスク・副作用など) | 当院では抜歯と他院で言われてしまった歯もできるだけ残せるように最善を尽くすよう努めております。 |
カテゴリ | 歯内療法 |
他院で作成された被せ物をやり替えた際にお痛みがあり、再度治療を始めたがこれ以上の治療はできないと言われてしまい治療中断。
悩まれた末に当院にご来院くださりお話をお聞きしました。
1つの根っこにひびが入っていることなどがわかりましたが抜歯ではなく、できるだけ歯を残存させることを目的とした治療計画を立てて根っこの治療を開始しました。
Case
60代 男性

右下の6番目の歯の痛みを訴えられお見えになりました。根が2本あり手前側の根が割れており保存不可能な状態でした。

通常だと抜歯を行いインプラント治療もしくは隣の歯を削ってブリッジですが今回は奥の根だけ残して被せ物を行いました。問題なく噛めており術後2年経過良好です。
費用 | 100000円 |
---|---|
治療期間 | 6か月 |
注意事項(リスク・副作用など) | 1. 治療期間が長い 各回の治療には時間がかかるため、忙しい患者さんにとってはスケジュール調整が困難になることがあります。特に感染が広範囲に及んでいる場合、治療期間がさらに長くなることがあります。 2. 完全な成功が保証されない 歯根の形状が複雑な場合や、治療が不十分だった場合、細菌が再び増殖し、炎症や痛みが再発することがあります。このようなケースでは追加の治療が必要となり、患者さんの負担が増す可能性があります。 4. 歯が弱くなる 歯の強度が低下するため、治療後は硬いものを噛むことや強い力がかかる行為を避ける必要があります。この点で、患者さんの日常生活に一定の制限が生じることがあります。 |
カテゴリ | 歯内療法 |
Case
40代 男性

術前ですが左下6に大きな病変を認め膿がたまり抜歯が必要であるといわれ当院にお見えになりました。

根管治療術後2年です。膿の袋は綺麗に消失し被せ物が入り特に問題のない状態です。
費用 | 100000円 |
---|---|
治療期間 | 6か月 |
注意事項(リスク・副作用など) | 治療の刺激や薬剤の刺激により、治療後数時間から数日後に痛みや腫れが生じる場合があります。 |
カテゴリ | 歯内療法 |
Case
40代 女性

当院にて他院で根管治療中ですがお痛みがとれないとのことを主訴にお見えになりました。レントゲン画像にて右下に膿の袋の黒い部分を認めます。歯の破折などがないか調べて問題なさそうでしたので治療を開始してゆきます。

当院にて精密根管治療(保険診療)を受けていただきまして、その後レントゲンにて膿の袋の消失を認め経過良好に治癒しています。最後はジルコニアクラウンにて修復しており術後3年で経過良好です。

最終的な被せ物はジルコニアクラウンです。
費用 | 10万円 |
---|---|
治療期間 | 4か月 |
注意事項(リスク・副作用など) | 治療後数時間から数日後に、痛みや腫れが生じる場合があります。 |
カテゴリ | 歯内療法 |