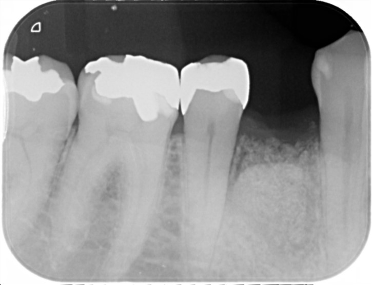
Case
30代女性

2021/12

2025/8 右上6番にインプラントを埋入

2022/1

2025/8 右上6番はインプラント上部でフルジルコニアを、右上7番もフルジルコニアを使用しています。
治療部位 | 右上6、7番 |
---|---|
費用 | 約55万円円 |
治療期間 | 10ヶ月 |
注意事項(リスク・副作用など) | 1. インプラントロストの可能性 骨とインプラントの結合がうまくいかずにインプラントそのものが脱落してしまうことを指します。原因としては感染や火傷が大きな原因ですが、そもそもの原因因子として全身的な健康状態や骨の硬さや骨の厚みが挙げられます。 2. 感染 3. 周囲組織への損傷 4. 痛みや腫れ 5. 歯周病 6. 噛み合わせの問題 7. 金属アレルギー インプラント治療にはこれらのリスクがありますが、事前の適切な検査や診断、術後のメンテナンスによってリスクを最小限に抑える事ができます。 永嶌歯科クリニックでは、しっかりとした治療計画を立て、リスクを最小限に抑えた形で治療を提供しておりますのでご安心ください。治療前に気になる点や分からない事がある場合は、お気軽にご相談ください。 |
カテゴリ | インプラント |
Case
50代女性

右上4,5番インプラント術前

インプラント術後(1年経過)
費用 | 800000円 |
---|---|
治療期間 | 9ヶ月 |
注意事項(リスク・副作用など) | 1. インプラントロストの可能性 骨とインプラントの結合がうまくいかずにインプラントそのものが脱落してしまうことを指します。原因としては感染や火傷が大きな原因ですが、そもそもの原因因子として全身的な健康状態や骨の硬さや骨の厚みが挙げられます。 2. 感染 3. 周囲組織への損傷 4. 痛みや腫れ 5. 歯周病 6. 噛み合わせの問題 7. 金属アレルギー インプラント治療にはこれらのリスクがありますが、事前の適切な検査や診断、術後のメンテナンスによってリスクを最小限に抑える事ができます。 永嶌歯科クリニックでは、しっかりとした治療計画を立て、リスクを最小限に抑えた形で治療を提供しておりますのでご安心ください。治療前に気になる点や分からない事がある場合は、お気軽にご相談ください。 |
カテゴリ | インプラント |
当院ではインプラント手術後もきちんと予後を確認していくために定期的なメンテナンスに来ていただくようお話しております。
Case
40代 女性

左上5番が歯根破折を起こし保存不可能な状態でした。

抜歯して3か月経過し骨の状態も問題のないことをCTで確認を行いました。

手術から3か月後に無事に被せ物まではいりました。かみ合わせも問題なく調子よく経過し現在術後2年経過しておりますが問題ありません。

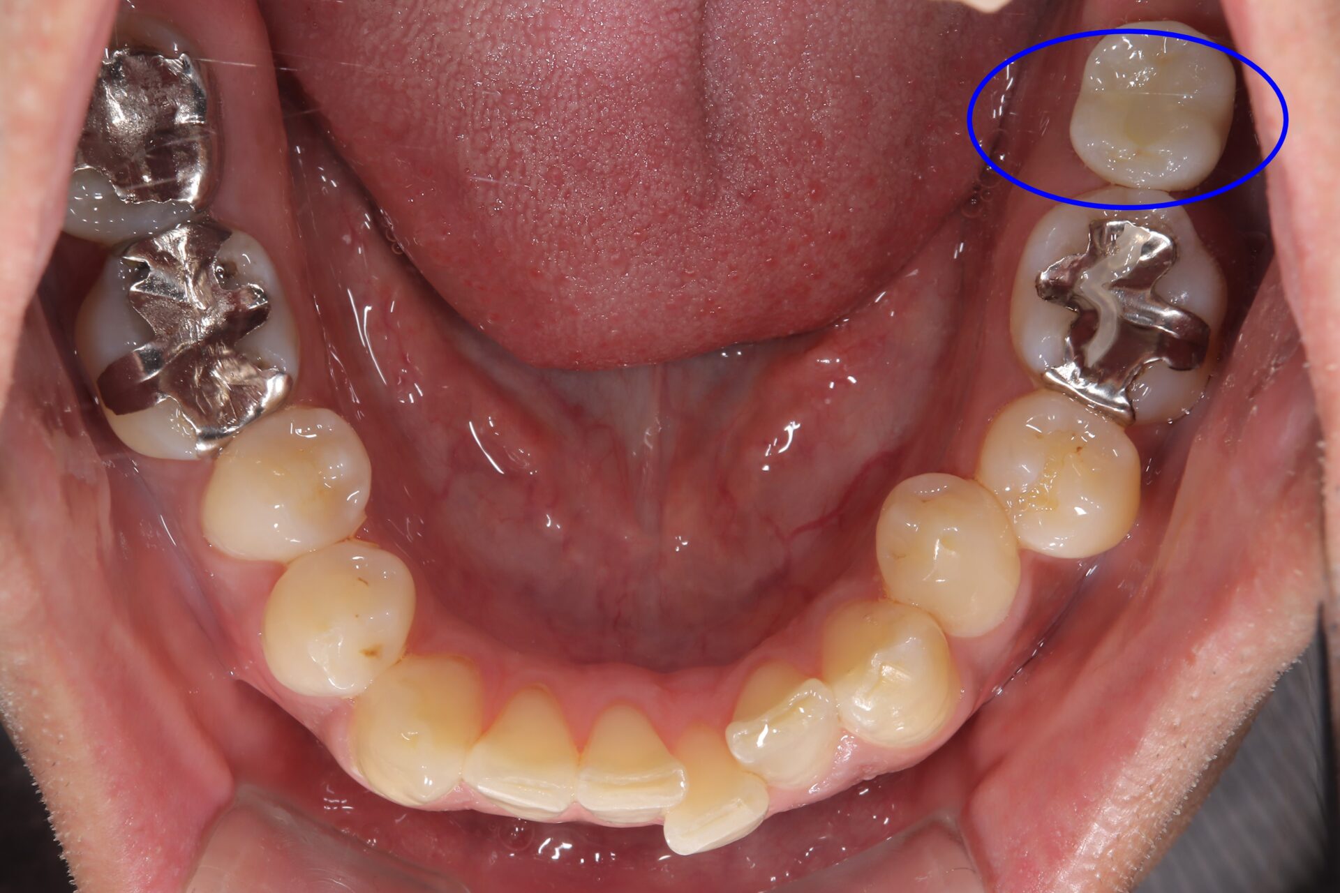
左上の青い線で囲んであるとことが新しい歯になります。
経過も問題なくなんでも噛むことができるようになりました。
費用 | 45万円 |
---|---|
治療期間 | 6か月 |
注意事項(リスク・副作用など) | 1. インプラントロストの可能性 骨とインプラントの結合がうまくいかずにインプラントそのものが脱落してしまうことを指します。原因としては感染や火傷が大きな原因ですが、そもそもの原因因子として全身的な健康状態や骨の硬さや骨の厚みが挙げられます。 2. 感染 3. 周囲組織への損傷 4. 痛みや腫れ 5. 歯周病 6. 噛み合わせの問題 7. 金属アレルギー インプラント治療にはこれらのリスクがありますが、事前の適切な検査や診断、術後のメンテナンスによってリスクを最小限に抑える事ができます。 永嶌歯科クリニックでは、しっかりとした治療計画を立て、リスクを最小限に抑えた形で治療を提供しておりますのでご安心ください。治療前に気になる点や分からない事がある場合は、お気軽にご相談ください。 |
カテゴリ | インプラント |
Case
30代 男性

当院に歯の痛み、腫れを主訴にお見えになりました。マイクロスコープで確認したところ歯が複雑に破折しており保存は難しい状態でした。そのため、しっかりとご説明させていただき抜歯の選択を行いました。

インプラントと入れ歯とブリッジの選択をご説明し、隣の歯が健全な状態であり負担をかけたくないためにインプラント治療を選択頂きました。治療は3か月にて終了しました。術後2年ですが問題なくなんでも噛めるとおっしゃていただいております。
治療部位 | 左下6部 |
---|---|
費用 | 450000円 |
治療期間 | 3か月 |
注意事項(リスク・副作用など) | 術後の腫れや痛み:歯茎を切り取ったり骨を削ったりするため、手術後2~3日をピークに1週間程度、頬部や顎下部に痛みや腫れが生じることがあります。軽度の場合は痛み止めを服用して様子を見ます。 |
カテゴリ | インプラント |
Case
40歳代 女性

生まれながらにつき永久歯がなく生えてこられない事で当院にお見えになりました。

右下に歯がない所があります。歯のない所にインプラント処置を行う予定をたてました。

インプラントが無事に終わり治療後3年です。何事もなく経過も良好です。

右下に歯がはいりました。
治療部位 | 右下4 |
---|---|
費用 | 450000円 |
治療期間 | 3か月 |
注意事項(リスク・副作用など) | 腫れや痛み:手術後に頬や顎下部に痛みや腫れが生じることがあり、手術後2~3日をピークに1週間程度続きます。埋入本数が多かったり、骨を増やす手術を行ったりした場合は、痛みや腫れが強くなる傾向にあります |
カテゴリ | インプラント |
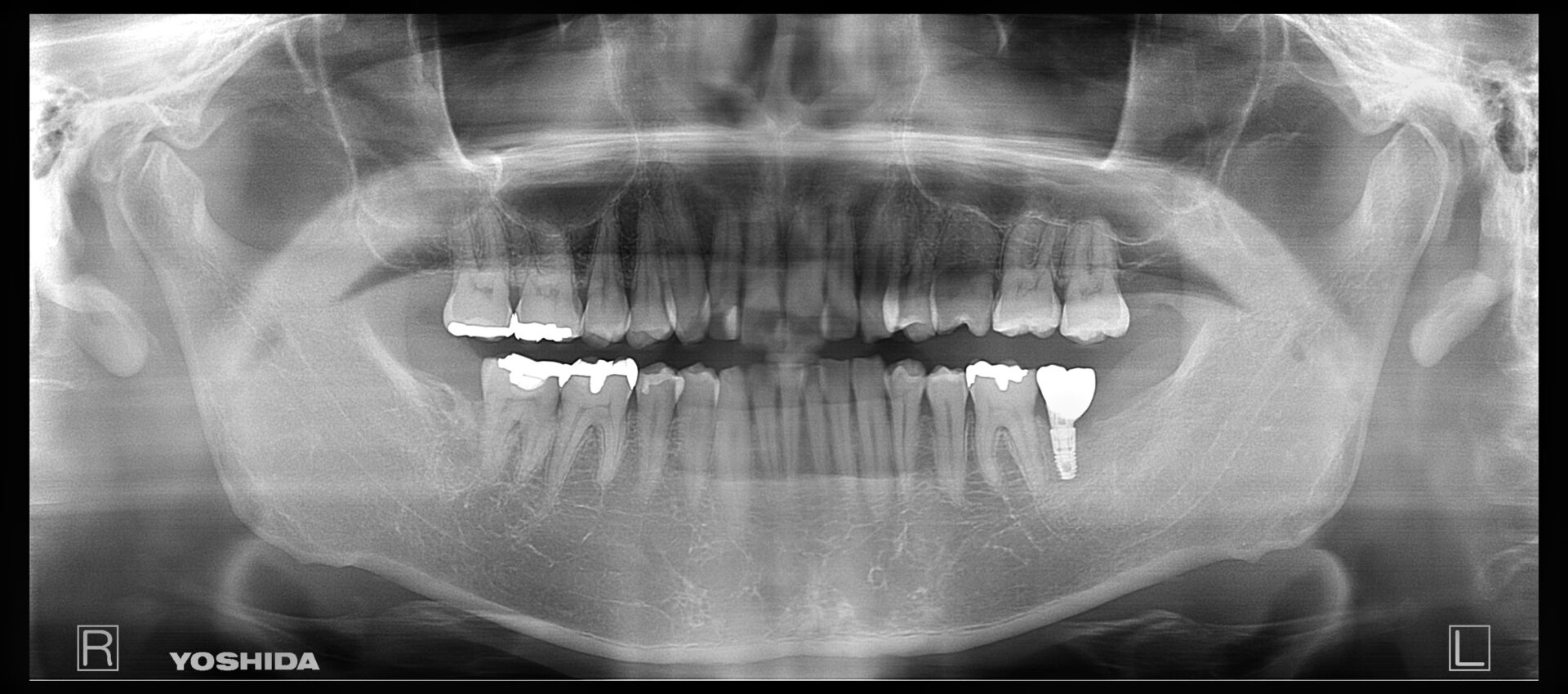
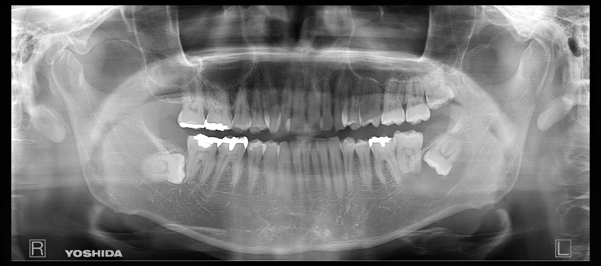
Case
インプラント治療 右下奥歯 左上奥歯

歯の治療の開始前で右下と左上に歯がないところがあります。

治療を開始させていただく前のお口の中の状態です。

インプラント治療終了後3年の経過良好の状態です。

現在のお口の中の状態です。歯がないところに歯を回復させていただきました。
治療部位 | 右下76(インプラント+ジルコニア) |
---|---|
費用 | (495,000円×4)約200万円 |
治療期間 | 6か月 |
注意事項(リスク・副作用など) | インプラント手術直後は違和感や痛み、腫れなどが発生する可能性がありますが大半は2~3日程度でおさまります。 |
カテゴリ | インプラント |
下の奥歯がなく、食べにくいため、食べやすい治療方法を希望。
また、残っている歯に対する影響の少ない治療方法を希望され、インプラントを選択。